女子整理衣柜后肺部“发霉”了,只因忽略了这个细节
天气渐渐转热,不少街坊趁着天气放晴,开始整理衣柜,将衣物进行“大换季”。
家住浙江杭州的沈女士趁前两天天气晴好,她休息在家,便开始了“换季工程”。岂料,整理完衣柜后,她病倒了。
正当大家以为是累得病倒的时候,却查出是肺“发霉”了!只因为干家务时,忽视了一个细节。
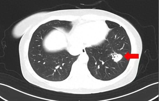
女子整理衣柜后感染肺曲霉病高烧40℃,肺部“长满”菌斑
“我全身不舒服,发热,体温最高到了40℃,还咳嗽。”沈女士来到医院就诊。
在医生问诊时,沈女士说起了换季整理衣柜的事。她在整理时发现衣柜里长了霉斑,为此还特意把全部衣柜做了清理,但是清理时没有戴口罩。在了解情况后,医生为她做了纤维支气管镜检查及肺泡灌洗液病原体检测,果然发现气道壁上有大量白色菌斑,这就是引起患者高烧、咳嗽的“元凶”——肺曲霉菌病。目前,沈女士经抗真菌及综合支持治疗后病情逐渐稳定,已康复出院。
每年这样的案例都有很多。
据此前报道,杭州00后王小姐(化名)出现咳嗽、乏力、发热等症状。送医检查后,王小姐被诊断为霉菌性肺炎。
据了解,王小姐在打扫旧衣柜时吸入了不少杂质、灰尘,所以才导致肺部感染。
无独有偶,湖南长沙63岁的戴女士也因此中招。据她本人所述,自己在家整理了旧书籍及老照片,而这些老照片和书籍中隐藏着大量尘螨及霉菌。整理过程当中,她本人也未做好防护,导致吸入大量尘螨及霉菌,随后出现严重过敏反应,导致哮喘症状发作,出现无法呼吸的痛苦。
2024年3月30日,浙江宁波60岁的王先生在扫墓之后,同样出现了胸痛、发烧等症状。后经诊断,罪魁祸首就是扫墓时吸入的杂质、尘土。
什么是曲霉菌?曲霉菌爱藏在哪里?
医院呼吸与危重症医学科的专家介绍,曲霉菌在自然界中广泛存在,主要以枯死的植物、动物的排泄物及动物尸体为营养源。
潮湿环境下,曲霉菌容易滋生,家里洗手间地砖、墙缝等地方都可能是其温床。肺曲霉菌病在临床上分为侵入性肺曲霉菌病、肺曲霉球、气管支气管曲霉病等类型。不同类型的肺曲霉菌病临床表现有所不同。
常见的症状有持续高热不退,服用常规退烧药也难以起到明显效果;咳嗽症状不断加重,还可能伴有胸痛、呼吸困难;咳出的痰液中带有血丝或呈现棕褐色;此外,还可能出现鼻塞、流脓涕、面部疼痛等鼻窦炎症状。严重时可发生呼吸衰竭甚至危及生命。
霉菌青睐潮湿的环境,在温度20℃—30℃,湿度80%以上的地方最容易繁殖。此外,长时间未清理的空调,其内部易积累霉菌。
家中怎样除霉菌?
开窗通风,是最有效的除霉方法。应尽量在房间对角线方向上打开至少两扇窗户换气或使用空调的除湿功能来降低屋内湿度。对于厨房,日常生活中,可以经常打开厨房的排风扇通风;
浴室内最易滋生霉菌,避免在浴室内晾衣物,日常可在打扫后使用除霉的专用喷雾剂;
布艺沙发等家具也易滋生霉菌,一定要定期清洗沙发套,并在阳光下暴晒。
清除霉菌的时候要注意戴口罩、戴手套,以免吸入引发疾病。除了佩戴防尘口罩外,还需要视情况戴上护目镜,以防清洁剂溅入眼睛,造成眼部损伤。
如果出现持续高热和反复咳嗽、咳痰、气喘等症状,经常规治疗效果不佳时,建议可检查确定是否感染了肺曲霉菌病。
来源:潮新闻、杭州发布

还没有评论,来说两句吧...